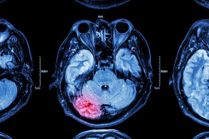
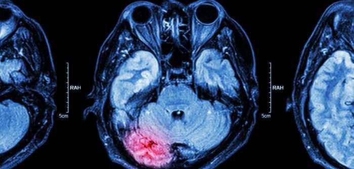
A new study reveals that men are three times more likely to die from a traumatic brain injury (TBI) than women. The research, based on US mortality data from 2021, highlights the disproportionate impact of TBIs on older adults, males, and certain racial and ethnic groups. Published in the peer-reviewed journal Brain Injury, the findings indicate that suicides remain the most common cause of TBI-related deaths, followed by unintentional falls. Men were found to be most at risk, with a death rate of 30.5 compared to 9.4 for women.
Lead author Alexis Peterson from the National Center for Injury Prevention and Control at the Centers for Disease Control and Prevention noted that older adults are particularly vulnerable, with unintentional falls being a major cause of TBI-related deaths. Researchers found that differences in injury severity, sex, and age contribute to the high rate of TBI deaths among men, who tend to fare worse with age compared to postmenopausal women.
Peterson emphasized the need for tailored prevention strategies to protect high-risk groups and stressed the crucial role of healthcare providers in reducing TBI-related deaths through early intervention and culturally sensitive care. The analysis, which used data from the National Vital Statistics System, identified 69,473 TBI-related deaths among US residents in 2021, averaging 190 deaths per day. The age-adjusted TBI-related mortality rate was 19.5 per 100,000, representing an 8.8 percent increase from 2020.

